
EIRL Chest Screening とは
胸部X線画像上で肺がんの可能性がある箇所を見つけることに加え5つの自動計測機能により医師の読影診断をAIがサポートしてくれます。
胸部X線画像は診察室にある既存の電子カルテ上で確認が可能です。
撮影時も胸部X線検査であることを自動認識するため特別な操作は必要ありません。
当院は「内科」ですが、専門分野は「消化器(お腹の臓器)」や「内視鏡検査」です。しかし胸痛の患者さんや呼吸器症状のある患者さんに胸部レントゲンが必要な場合もあり、その際は当然ながら胸部レントゲン検査を行います。また令和5年度からは特定健診や人間ドックを開始し、これらの健診でも胸部X線検査を行う機会が増えました。
内科医であっても呼吸器内科や放射線科の専門医ではない医師は胸部レントゲンに苦手意識をもつひとも多いんです。この分野は高い専門性が要求されることを知っているからです(内視鏡検査と似ています)。実際、レントゲンの読影センターというシステムがあったり、専門医がすべての胸部レントゲン読影のダブルチェックをしている病院があったりするくらいです。
EIRL Chest Screeningシステムの導入によって、胸部レントゲン検査での診断精度が専門医レベルまであがることが期待できます。そのため当院でも「より安全・安心」して内科領域にある広い範囲の症状や疾患を見ることが可能になります。
異常陰影検出
胸部X線画像から肺がんの可能性のある箇所をAIが見つけだし、医師による読影をサポートしてくれます。 医師のみが読影した場合と比べ、EIRL Chest Screeningを併用して読影した場合には、専門医で11.1%、経験5年未満の非専門医で15.5%の感度が上がることが認められました。
また、読影試験における診断性能を表すJAFROC解析によるFOM(Figure of Merit)値は、EIRL Chest Screeningを併用すると専門医で0.059ポイント向上し(p<0.001)、診断精度の向上が認められました。
-
浸潤影の内側に結節影がある症例

-
右肺に無気肺がある症例

-
間質性陰影が広がっている症例

5つの自動計測機能
-
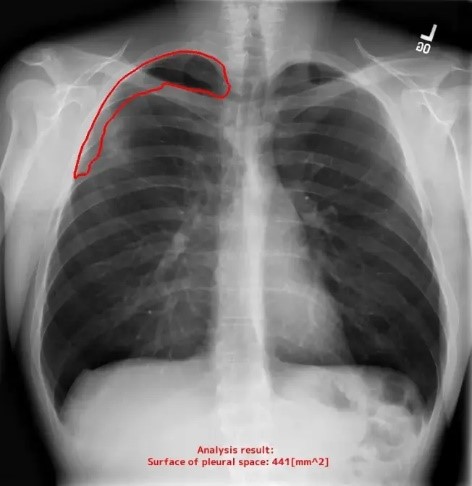
胸腔内空気含有面積を自動計測
X線画像から、空気が含まれる領域の面積を測定し、その領域を明示的に区別して表示します。
-
肋骨横隔膜角の自動計測
肋骨横隔膜角の計測を行い、計測結果が基準値を超えた場合に表示します。
-
心胸郭比(CTR)の自動計測
肺と心臓それぞれの最大幅の比率を計算し、計測結果が基準値を超えた場合に表示します。
-
縦隔幅の自動計測
縦隔の最大幅を計測し、計測結果が基準値を超えた場合に表示します。
-
大動脈弓の径の自動計測
縦隔の幅の計測結果が表示されていない場合で、かつ大動脈弓の横幅が基準値を超える場合に、その情報を表示します。
※想定表示基準値
| 心胸郭比 | 50%を超えるもの |
|---|---|
| 縦隔幅 |
①0.25 ②0.3 ③0.3 |
| 大動脈弓の径 | 40mmを超えるもの |
|---|---|
| 肋骨横隔膜角 | 70度を超えるもの |
前回計測値を表示する機能もあり、比較することも可能です。
まとめ
より安全で安心な医療を提供するためには医師個人の修練も欠かせませんが、医師とAIとの親和性を高めていくことも今後は重要だと考えています。
理事長 山岡 肇
※注)肋骨横隔膜角・心胸郭比・縦隔幅・大動脈弓の径の自動計測機能については、「医薬品、医療機器等の品質、有効性及び安全性の確保等に関する法律(医薬品医療機器等法)」に基づき、2021年12月15日に指定管理医療機器の製造販売認証を取得しています。
引用元
※ 日本人間ドック学会「胸部X線」
https://www.ningen-dock.jp/public/inspection/chest-x
EIRL
https://eirl.ai/ja/eirl-chest_screening/
記事担当 広報部 篠佑美







